Traumatologia dentale a Romano di Lombardia e a Bergamo
Per traumatologia dentale o dentoalveolare si indica quella parte dell' odontoiatria che si occupa degli effetti di un evento accidentale sulle strutture dure e/o di sostegno di un dente. I soggetti più predisposti sono quelli con accentuata protrusione dentale superiore, morso aperto, incompetenza labiale ed in generale con abitudini viziate.
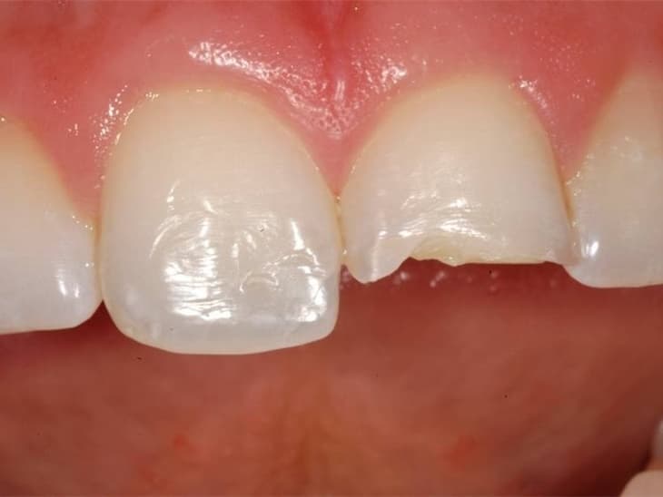
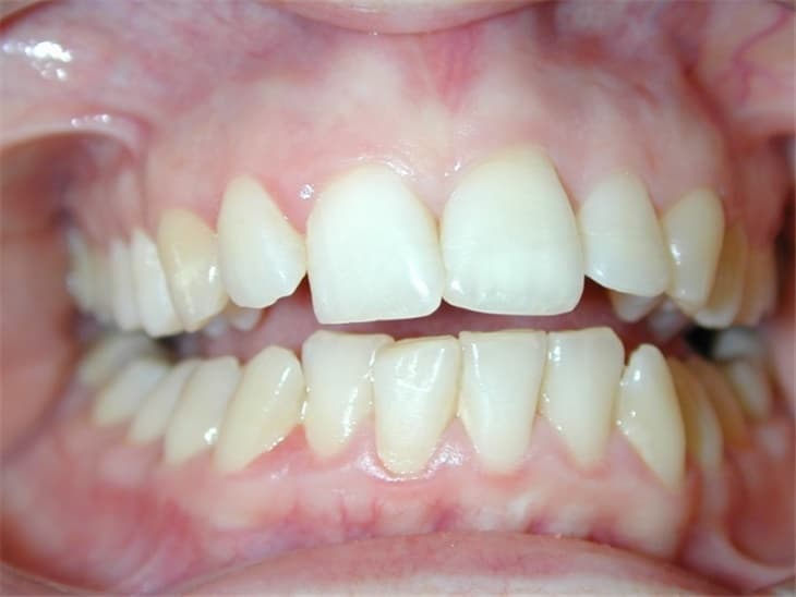
A seconda dell’energia del trauma e dell’area colpita i traumi, diretti o indiretti che siano, possono portare ad una frattura dentale(alta velocità e piccola massa) o a una lesione ai tessuti di sostegno dell’elemento dentale (grande massa e bassa velocità).
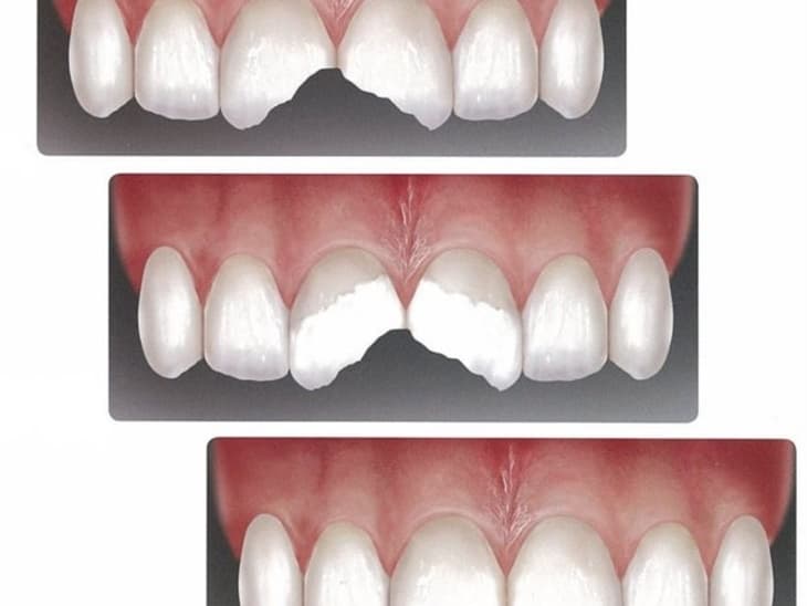
I traumi dentali possono quindi esitare in infrazioni o fratture coronali o radicolari, semplici o complesse oppure in lussazioni del dente, intrusive, estrusive, fino alle avulsioni traumatiche.
La terapia dei traumi ai tessuti duri del dente è orientata il più possibile al recupero del dente traumatizzato, attraverso ricostruzioni in composito, reincollaggio del frammento rotto o reimpianto dentale.
Queste procedure dipendono, per una buona riuscita, dalla rapidità dell’intervento e dalle modalita di conservazione (in soluzione fisiologica, saliva, latte) del dente lussato o del frammento del dente stesso. Inoltre, in presenza di una lesione della polpa si può avere una necrosi parziale o totale della polpa stessa.
I denti decidui possono subire gli stessi traumi dei denti permanenti; la terapia è simile, secondo la collaborazione del piccolo paziente e lo stato di riassorbimento radicolare del dente da latte.
I traumi dentali decidui posso però influenzare i denti permanenti sottostanti, che andranno monitorati durante il loro percorso eruttivo, con esami radiografici periodici (rx endorale o panoramica).






